Un nuovo studio spiega le basi genetiche di una forma rara e aggressiva di tumore ovarico e offre una potenziale via per nuovi trattamenti.
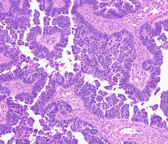
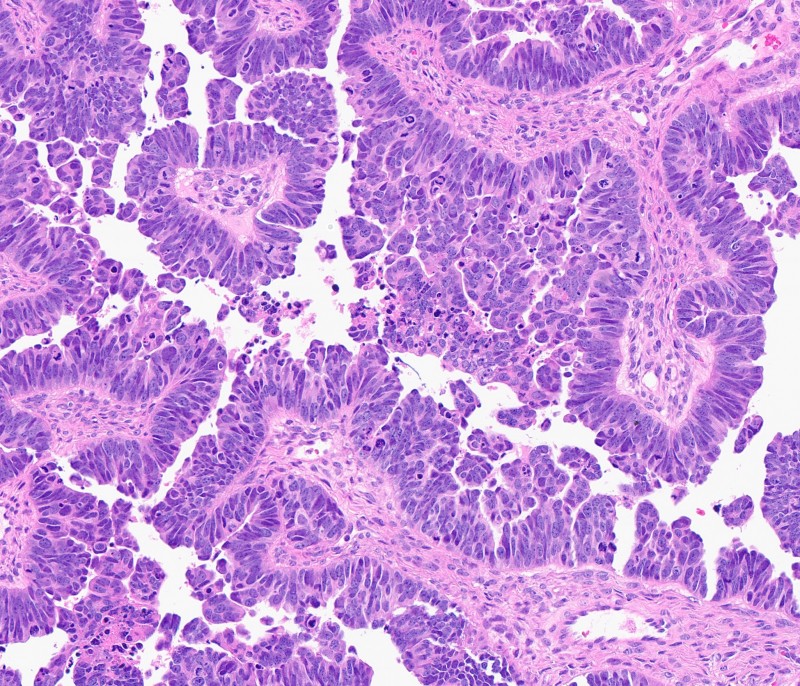
Il carcinoma sieroso di alto grado, il tipo più comune di tumore ovarico, di solito inizia nella tuba di Falloppio, prima di diffondersi alle ovaie e ad altri organi pelvici. Il tumore viene in genere scoperto in uno stadio avanzato e diventa resistente alle attuali chemioterapie. La sua genetica di base è complessa, con molteplici alterazioni e instabilità genetiche. Uno dei geni coinvolti è il CDK12.
CDK12 e il suo ruolo di oncosoppressore
In questo nuovo studio, pubblicato sui Proceedings of the National Academy of Sciences, i ricercatori del Rogel Cancer Center dell’Università del Michigan presentano un nuovo modello murino che mostra come il CDK12 agisca come un soppressore tumorale, favorendo la formazione di carcinomi sierosi di alto grado nell’ovidotto del topo, l’equivalente della tuba di Falloppio umana.
Un promettente degradatore che prende di mira il CDK12 e un gene correlato, il CDK13, può distruggere questi tumori.
“Questa è la prima dimostrazione, in un modello murino, che CDK12 svolge un ruolo di oncosoppressore in questo tipo di cancro. Quando inattiviamo CDK12, i tumori crescono molto più velocemente e i topi muoiono prima, dimostrando che questa è una forma più aggressiva della malattia”, ha affermato il coautore senior dello studio, Arul M. Chinnaiyan, direttore del Michigan Center for Translational Pathology e Professore di Patologia S.P. Hicks presso la Michigan Medicine.
Il modello murino utilizzato in questo lavoro è stato cruciale per la scoperta. Si basava su un modello geneticamente modificato precedentemente creato dalla M.D. Kathleen R. Cho, in cui tre geni noti per sopprimere lo sviluppo del carcinoma sieroso di alto grado erano stati eliminati nell’ovidotto del topo. In questo caso, CDK12 è stato aggiunto per una quadrupla inattivazione dei geni.
Una riduzione della crescita tumorale
“È molto importante accreditare i sistemi modello dimostrando che riassumono le caratteristiche chiave delle loro controparti umane, un processo che richiede anche molto tempo”, ha affermato Cho, co-autrice senior dello studio, Professore di Patologia Peter A. Ward, co-direttore del programma di genetica del cancro del Rogel Cancer Center e direttore di Patologia Ginecologica presso la Michigan Medicine.
“Queste caratteristiche includono non solo l’origine cellulare e l’aspetto al microscopio, ma anche la tempistica dello sviluppo del tumore, la genetica sottostante, le alterazioni genetiche acquisite e i profili di espressione genica, il microambiente tumorale (inclusi i componenti delle cellule immunitarie) e altri aspetti del comportamento biologico”, ha affermato.
Questo risultato ha permesso ai ricercatori di vedere che, oltre ad alimentare una crescita tumorale aggressiva, l’inattivazione di CDK12 innescava una risposta immunitaria, reclutando le cellule T immunitarie verso il tumore. Inoltre, i ricercatori hanno identificato un gene partner, CDK13, come bersaglio per un degradatore o inibitore di CDK12. Un degradatore di CDK12/13, insieme a inibitori dei checkpoint immunitari nel modello murino, ha portato a una riduzione della crescita tumorale, suggerendo che una terapia combinata potrebbe essere efficace in questo sottogruppo di tumori ovarici.
Risultati simili nel carcinoma prostatico
“Sebbene vi siano stati alcuni miglioramenti nella gestione del carcinoma sieroso di alto grado, una volta che le pazienti diventano resistenti alla chemioterapia di prima linea, la selezione di altri agenti chemioterapici è in gran parte frutto di congetture. Sono assolutamente necessari nuovi trattamenti, poiché la sopravvivenza complessiva delle donne con questo tipo di tumore rimane piuttosto scarsa”, ha affermato Cho.
I ricercatori avevano riportato in precedenza risultati simili nel carcinoma prostatico, dimostrando che CDK12 è un fattore chiave nella malattia aggressiva. È noto che CDK12 svolge un ruolo in circa il 7% dei tumori prostatici metastatici e in circa il 3% dei tumori sierosi tubo-ovarici di alto grado. Non è stato dimostrato che sia inattivato in altri tipi di tumore.
“I tipi di terapie che potrebbero essere sperimentate nel carcinoma ovarico sono diversi da quelli del carcinoma prostatico. In questo studio, mettiamo insieme le due patologie e dimostriamo che gli inibitori o i degradatori di CDK12/13 dovrebbero essere presi in considerazione in entrambi i tipi di tumore”, ha affermato Chinnaiyan.
Diversi inibitori di CDK12/13 sono in fase di sviluppo, incluso il composto sviluppato dal team dell’Università del Michigan. I ricercatori intendono sviluppare ulteriormente il degradatore di CDK12/13 con l’obiettivo di portarlo alla sperimentazione clinica.







