Tag: WISDOM
Cancro al seno: fare prevenzione con uno screening personalizzato
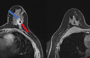
Uno studio pionieristico ha valutato un approccio personalizzato allo screening del cancro al seno che valuti il rischio delle pazienti, anziché eseguire automaticamente mammografie...







