Tag: respirazione
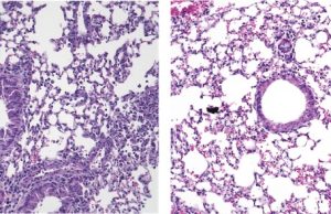
Asma allergica: un nuovo approccio per ridurre l’infiammazione polmonare
I ricercatori della Keck School of Medicine, University of Southern California, hanno scoperto che una proteina chiamata Piezo1 impedisce a un tipo di cellula...
Il rapporto tra COVID lungo e la sindrome da stanchezza cronica
Molti pazienti affetti da quello che viene ormai definito come ‘COVID lungo’ a distanza di mesi dall’inizio della malattia presentano ancora una sindrome da...
L’apnea ostruttiva del sonno nei bambini e negli adolescenti
L'apnea ostruttiva del sonno è comune nei bambini e negli adolescenti e può essere associata ad una pressione arteriosa elevata e a cambiamenti nella...
Un nuovo documento dell’American Heart Association sull’apnea ostruttiva del sonno
È stato pubblicato nei giorni scorsi un nuovo scientific statement dell'American Heart Association che mette in risalto l’importanza di una maggiore consapevolezza riguardo l'apnea...
La riabilitazione dopo un’intervento di cardiochirurgia
Dal 15 settembre ha avuto inizio un programma di aggiornamento in cardiologia, articolato in una serie di 35 incontri settimanali, trasmessi in diretta streaming....
L’utilità della meditazione dopo un infarto del miocardio
Un programma di otto settimane di meditazione consapevole, Mindfulness, migliora la qualità della vita e riduce la paura di svolgere attività fisica, tipica dei...
Se si respira il fumo degli incendi si rischia l’arresto cardiaco
Secondo una nuova ricerca, pubblicata sul Journal of American Heart Association, l'esposizione al fumo intenso durante i recenti incendi che si sono verificati in...
Un’applicazione per la meditazione che migliora l’attenzione
Diversi minuti di allenamento quotidiano di meditazione, utilizzando una app a ciclo chiuso, per un periodo di 6 settimane, migliorano l'attenzione dei giovani adulti...
Terapie emergenti per l’atrofia muscolare spinale: una review
L'atrofia muscolare spinale è una malattia neuromuscolare caratterizzata dalla perdita dei motoneuroni e da un’atrofia muscolare progressiva. E’ dovuta a un difetto genetico del...
Promettenti risultati della neurostimolazione in pazienti con apnee notturne centrali
L’apnea centrale del sonno è caratterizzata da episodi di apnea ricorrenti, con interruzioni del respiro di dieci o più secondi, senza che si associ...















